
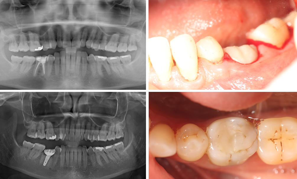
Íny recesszió fedése
Az íny visszahúzódásnak több oka lehet pl. rossz harapás, túl erős fogmosás, iatrogén okok mint elálló tömésnek a széle…
Több módszer létezik a lehúzódott rész fedésére.

Indirekt héj
A héj, ami fogtechnikus által készül, jó megoldás lehet az elfordult vagy elszíneződött fogakra.

Implant
A természetes fog pótlására a legjobb megoldás az implantálás. A kemény szövetet és a lágyszövetet is mindig figyelembe kell venni, hogy egy tökéletes, hosszútávon működő eredményt tudjunk elérni.

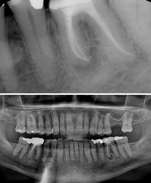
Gyökérkezelés
Ma már alap fogászati kezelésnek számít, aminél különösen fontos a precíz kivitelezés, ezért rendelőnkben nagy nagyítás alatt és a legújabb technikával végezzük el minden lépését.

Direkt héj
Mock up alapján, szájban tömőanyaggal készül.

Csontpótlás
Alsó és felső állcsontba nem mindig lehet foghúzás után implantálni. Sokszor hiányzik a megfelelő csont szélesség és magasság. Ebben az esetben először a csontot kell pótolni, és utána implantálni.

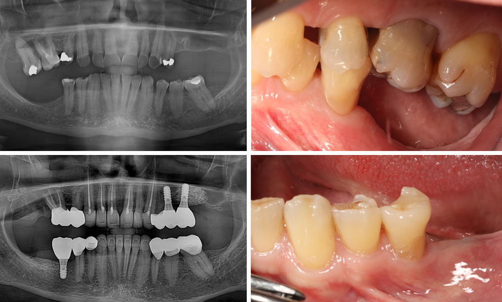
Teljes szájrehabilitáció
Nem minden száj alkalmas arra, hogy koronát vagy héjakat készítsünk.
Ezekben az esetekben egy teljes komplex ellátásra van szükség, aminek több lépésből áll: harapás állítás, backward planning és teljes száj rehabilitáció, korona, betét, héj készítése esettől függően…

Biomimetika
A hagyományos tömés az esetek 90%-ban nem működik, ennek oka lehet, hogy sokszor a megvilágítás után zsugorodik a tömőanyag és szekunder caries érzékenység tapasztalható.
Biomimetikával olyan tömést lehet készíteni, ami az eredeti fog anyagához és szerkezetéhez jobban hasonlít, ezért sokkal tartósabb és erősebb fogfelszínt hoz létre.

